末期癌と闘われる方々への
希望や勇気となりますように

難病末期癌からの生還~タイトル画像小

HOME | 癌細胞が完全に消滅した父のCT&MRI画像

闘病記ページ⑥

末期がん精密検査CT&MRI画像

末期癌完治の奇跡区切り線

末期がん宣告時と末期がん消滅時の診断画像比較

 
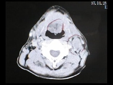
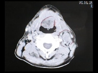
ここでは、末期がんと宣告された時のCT&MRI画像と、その約3か月後の末期がん消滅時の画像を比較して頂けます。(写真左が「末期がん宣告時の画像」、写真右が「末期がん消滅後の画像」)
 
※一部のスマートフォンや携帯電話などモバイル環境では画面の幅の制限により、写真が左右に表示されずに縦で交互に表示されます。ご了承下さい。

 

CT画像比較

中咽頭末期がんCT画像①

入院当時CT画像①

 
中咽頭末期がん消滅CT画像①

入院3か月後癌消滅CT画像①

 
中咽頭末期がんCT画像②

入院当時CT画像②

 
中咽頭末期がん消滅CT画像②

入院3か月後癌消滅CT画像②

 
中咽頭末期がんCT画像③

入院当時CT画像③

 
中咽頭末期がん消滅CT画像③

入院3か月後癌消滅CT画像③

 

MRI画像比較

中咽頭末期がんMRI画像①

入院当時MRI画像①

 
中咽頭末期がん消滅時MRI画像①

入院3か月後癌消滅MRI画像①

 
中咽頭末期がんMRI画像②

入院当時MRI画像②

 
中咽頭末期がん消滅時MRI画像②

入院3か月後癌消滅MRI画像②

 
中咽頭末期がんMRI画像③

入院当時MRI画像③

 
中咽頭末期がん消滅時MRI画像③

入院3か月後癌消滅MRI画像③

 
中咽頭末期がんMRI画像④

入院当時MRI画像④

 
中咽頭末期がん消滅時MRI画像④

入院3か月後癌消滅MRI画像④

 

次ページ「⑦余命3か月の末期癌を完治させた父のプロフィール」では、この末期癌からの奇跡の生還物語の主人公である私の父のプロフィールをご紹介します。TV取材や雑誌取材などの情報をはじめ、日常写真や誕生日の写真なども交えて父の姿を見て頂ければと思います。
 

難病末期癌からの生還区切り線